As a prosthodontist, a large part of my practice consists of indirect partial coverage ceramic restorations. Partial coverage ceramic restorations, inlays and onlays, are a great way to restore posterior teeth when the preparation is larger than a proximal box preparation.
Partial coverage ceramic restorations are more conservative than a crown and when the shade and translucency are correctly chosen, they blend in with the remaining walls of the tooth and become almost invisible.
Most of my inlays and onlays are treatment planned for posterior teeth with previous amalgam or composite restorations that have recurrent caries, crack lines through the cavity walls, or fractured cusps. In addition, inlays and onlays are great options to restore virgin posterior teeth with extensive caries.
When completing a ceramic inlay or onlay, immediate dentin sealing, at the time of preparation, is extremely important. Not only does it allow for the highest bond strength to dentin, but it also gives the tooth the best chance at maintaining a vital pulp. For immediate dentin sealing to be effective, the protocol requires the dental bonding agent to be a filled resin. Many of the dental bonding agents are unfilled resin, therefore a resin coating with flowable composite resin of at least 0.5 mm is required. My go to flowable composites for this resin coating are OMNICHROMA Flow BULK and OMNICHROMA BLOCKER Flow. I prefer these products due to their low polymerization shrinkage, high compressive and flexural strength, and low viscosity, resulting in easy adaptation to the cavity preparation.
I determine which product to use based on the color of the dentin. If the dentin is not stained, OMNICHROMA Flow BULK is indicated. Many times, the dentin is stained from a prior amalgam restoration or caries requiring the use of OMNICHROMA BLOCKER Flow. Sometimes I use a combination of both, placing the OMICHROMA BLOCKER Flow over the stained dentin and the OMNICHROMA Flow BULK over the other portion of the preparation. If the dark/stained dentin is not blocked out, the ceramic inlay or onlay will take on the color from the stained portion of the preparation and will not blend in with the tooth.
Patient Treatment Example 1:
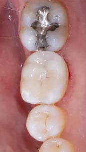
In the first patient treatment, this patient had a large MOD amalgam restoration on tooth #12 with recurrent caries on the distal (Figure 1). At the first appointment, the amalgam restoration was removed, and the recurrent caries were excavated. After the preparation was finalized, immediate dentin sealing was performed. This consisted of etching the dentin with 35% phosphoric acid, application and polymerization of Adhese Universal (Ivoclar Vivadent) dental bonding agent, followed by the application and polymerization of OMNICHROMA BLOCKER Flow (Figure 2). The oxygen inhibited layer on the flowable composite was removed with alcohol and an impression was made with elastomeric impression material. A temporary restoration was fabricated with Telio Onlay (Ivoclar Vivadent) temporary filling material. In the laboratory, a cast was developed with Type IV dental stone, a wax pattern was created and pressed in e.max lithium distillate ingot shade A1 HT (Ivoclar Vivadent). At the second appointment, the temporary filling was removed, and the fit of the restoration was confirmed. The intaglio surface of the inlay was treated with hydrofluoric acid, followed by Monobond Plus (Ivoclar Vivadent). The preparation was air particle abraded with 50-micron alumina oxide, total etched with 35% phosphoric acid, Adhese Unviversal (Ivoclar Vivadent) dental bonding agent was applied and polymerized, and the restoration was cemented with Variolink Esthetic DC Neutral (Ivoclar Vivadent) cement. The occlusion was adjusted and polished post cementation (Figure 3). The blend of the ceramic partial coverage restoration to the preparation walls is almost seamless, which is the goal of every ceramic restoration.
Figure 1 |
Figure 2 |
Figure 3 |
Patient Treatment Example 2
In the third patient treatment, this patient presented with a previous generation ceramic onlay fractured on the distolingual and was recemented as an emergency prior to the patient traveling (Figure 7). When the patient returned, the ceramic restoration was removed, and the preparation was finalized (Figure 8). Immediate dentin sealing was performed as previously stated and a resin coating of OMNICHROMA BLOCKER Flow was applied and polymerized (Figure 9). The oxygen inhibited layer was removed with alcohol and an impression was made with elastomeric impression material. A temporary restoration was fabricated with Telio Onlay (Ivoclar Vivadent) temporary filling material. A pressed e.max lithium distillate onlay was fabricated in shade A2 HT (Ivoclar Vivadent). At the cementation appointment, the temporary filling was removed, and the fit of the restoration was confirmed. The intaglio surface of the inlay was treated with hydrofluoric acid, followed by Monobond Plus (Ivoclar Vivadent). The preparation was air particle abraded with 50-micron alumina oxide, total etched with 35% phosphoric acid, Adhese Unviversal (Ivoclar Vivadent) dental bonding agent was applied and polymerized, and the restoration was cemented with Variolink Esthetic DC Neutral (Ivoclar Vivadent) cement. The occlusion was adjusted and polished post cementation (Figure 10).
Figure 7 |
Figure 8 |
Figure 9 |
Figure 10 |
The success of the above patient treatments would not have been possible if it wasn’t for OMNICHROMA BLOCKER Flow. Both OMNICHROMA Flow BULK and ONICHROMA BLOCKER Flow are great products and have simplified my flowable composite inventory. The unique application in which I use them for my indirect restorations is just another way of showcasing the versatility of this product.
