If dentistry has taught us anything, it’s this: no two days, and no two mouths, are ever the same. One minute you’re placing a straightforward Class I, the next you’re facing an emergency appointment, challenging color conditions, and a patient who just had two shots of espresso.
When clinical conditions get unpredictable, you need a composite that doesn’t add to the chaos.
Enter OMNICHROMA Family Composites, the dental equivalent of a weatherproof jacket. One that works whether you’re facing clear skies or a full-blown restorative storm.
The Forecast: Fewer Shades, More Confidence
Traditional composite systems feel like hoarding sweaters you never wear, aka the just in case clothes. Half your shades are expired untouched, and somehow, you’re still missing the one you need when you need it. But modern dentistry is shifting toward simplified, reduced composite lines, and for good reasons.
Let’s be honest, most of us didn’t get into dentistry because we love managing composite inventory. The average general practitioner simply does not have enough hours in the day to layer every restoration we place, however with a modified simplified one-shade, it opens the clouds to new possibilities. The shift toward single-shade and reduced composite lines isn’t about minimalism, it’s about practicality. Shade matching is not where you need to be burning brainpower at 4:45 PM and the truth is, patients don’t care how many shades you stock, they care that their restoration looks natural every time. OMNICHROMA delivers repeatable esthetics, even when lighting, dehydration, or substrate color tries to throw you off course. One system. Predictable results. Less chairside noise. In a busy practice, that simplicity is a necessity.
Storm-Proofing Your Technique:
Want to get the most out of your OMNICHROMA restorations? Here are a few practical pearls from the operatory:
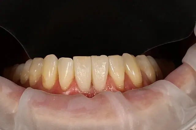
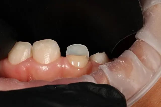
1. Use Blocker Strategically
Deep, dark preps or discolored dentin? OMNICHROMA BLOCKER is your umbrella. A thin layer helps neutralize underlying color without complicating your shade selection.
OMNICHROMA’s shade-matching performance depends on how light interacts with the surrounding tooth microstructure. When dark stains or a lack of tooth structure is present, OMNICHROMA is unable to distinguish between the tooth’s natural shade and the staining. Using a thin layer of OMNICHROMA BLOCKER (0.5mm-1mm) can create a life-like neutral wall to mask any discoloration, leaving you with a seamless color blend each and every time.
![]() |
![]() |
(Dr. Kevin Brown, Bellevue, Washington)
2. Polish = Performance
A high-quality polish enhances light transmission and that’s where OMNICHROMA shines. The better the polish, the better the blend, especially in highly visible anterior restorations.
![]() |
![]() |
(Dr. Kevin Brown, Bellevue, Washington)
3. Perfect for Emergencies
Not every restoration happens under ideal circumstances. Unplanned appointments, time constraints, or limited shade availability can make shade selection more challenging than expected.
OMNICHROMA simplifies these moments by removing shade variability from the equation. With one composite capable of blending across a wide range of tooth shades, clinicians can focus on treatment efficiency and esthetic outcomes, even when conditions shift unexpectedly.
One syringe, zero stress.
Whether you’re restoring under ideal conditions or navigating a clinical storm, OMNICHROMA Family Composites help you deliver results with clarity, versatility, and confidence. Dentistry is unpredictable enough. Your composite doesn’t need to be. One shade. Fewer variables. More control, no matter what walks through the door.

.webp?width=640&height=427&name=image1%20(3).webp)
.webp?width=640&height=427&name=image2%20(3).webp)
-2.webp?width=640&height=426&name=image4%20(3)-2.webp)
-2.webp?width=640&height=427&name=image5%20(2)-2.webp)